Considering ways to change the appearance of your smile?
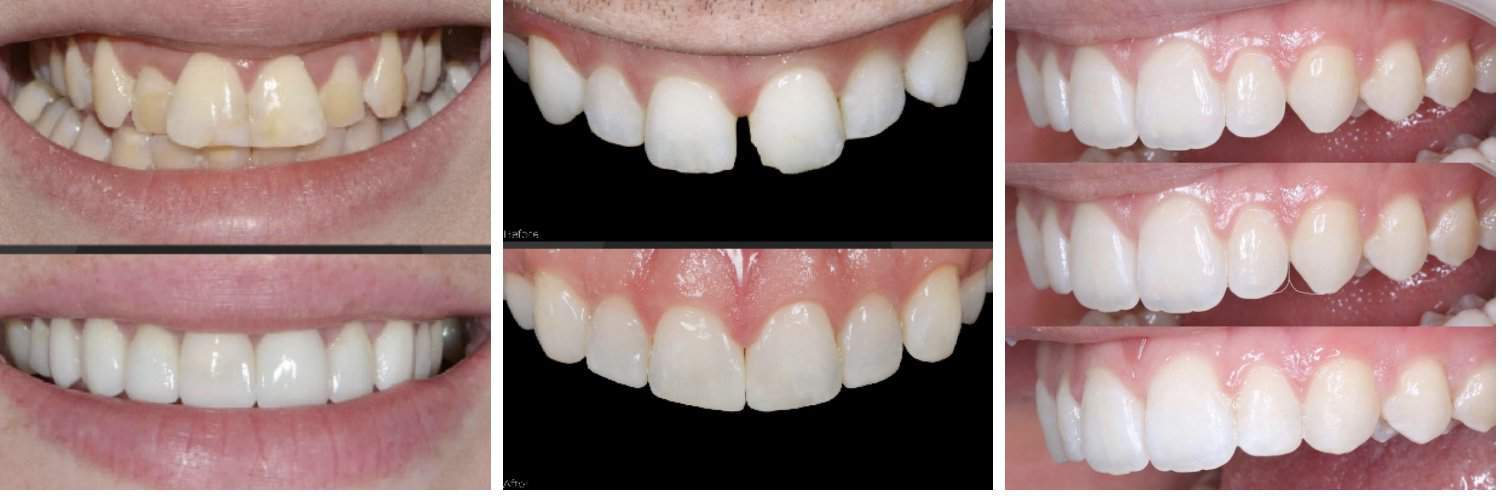
Veneers are a dental treatment option that may be used to alter the shape, colour, and overall appearance of teeth. If you’re exploring this treatment, it’s important to understand the differences between composite and porcelain veneers so you can make an informed decision.
In this article, we outline how each option works, along with key considerations to discuss with your dentist before proceeding with treatment.
Article Summary
- Understanding Veneers
- Composite Veneers
- Considerations for Composite Veneers
- Porcelain Veneers
- Considerations for Porcelain Veneers
- Who May Be Suitable?
- Conclusion

1. Understanding Veneers
Dental veneers are thin, custom-made coverings that may be placed over the front surface of teeth. They are a treatment option that may be used to alter the shape, colour, or overall appearance of teeth.
Veneers may be considered in cases such as discolouration, minor chips, uneven spacing, or variations in tooth shape. Suitability depends on individual oral health and clinical assessment.
2. Composite Veneers
What Are Composite Veneers?
Composite veneers, also known as direct veneers, are made from a tooth-coloured resin material. This material is applied to the teeth and shaped by the dentist to achieve the desired form.
3. Considerations for Composite Veneers
- May involve minimal tooth preparation in some cases.
- Treatment may be completed in a single appointment, depending on individual circumstances.
- Material may be adjusted or repaired where clinically appropriate.
- Longevity and maintenance requirements vary between individuals.
4. Porcelain Veneers
Porcelain veneers are thin ceramic coverings that are custom-made in a dental laboratory and then bonded to the tooth surface.
5. Considerations for Porcelain Veneers
- Typically involves multiple stages, including assessment, preparation, and placement.
- Material and design are selected based on individual clinical needs.
- May be considered in cases requiring more significant changes to tooth appearance.
- Longevity, maintenance, and outcomes vary depending on individual factors.

6. Who May Be Suitable?
Composite Veneers
Composite veneers may be considered for individuals seeking to adjust the appearance of their teeth where minimal changes are required. In some cases, this approach may involve limited tooth preparation. Treatment timing and suitability vary depending on individual clinical needs and assessment.
Porcelain Veneers
Porcelain veneers may be considered where more significant changes to tooth shape, colour, or alignment are being explored. This treatment typically involves multiple stages and requires careful planning. Suitability depends on individual oral health, clinical findings, and treatment goals.
7. Conclusion
Both composite and porcelain veneers are treatment options that may be used to alter the appearance of teeth. The most appropriate option depends on your individual oral health, preferences, and clinical requirements.
A comprehensive consultation with a registered dental practitioner is required to determine suitability and discuss appropriate treatment options.
Treatment outcomes vary between individuals, and your experience may differ from the information provided here. For a full outline of risks and considerations, please visit:
Risks and Considerations.
Contact one of our clinics to find out more: